top of page
Search

Spinal Gout

  • Writer: Hossein Elgafy
    Hossein Elgafy
  • Apr 14, 2020
  • 1 min read

Updated: Apr 18, 2020



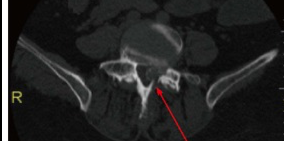
World J Orthop. 2016 Nov 18;7(11):766-775. Spinal Gout: A Review With Case Illustration Hossein ElgafyXiaochen LiuJoseph Herron

Abstract Aim: To summarize clinical presentations and treatment options of spinal gout in the literature from 2000 to 2014, and present theories for possible mechanism of spinal gout formation. Methods: The authors reviewed 68 published cases of spinal gout, which were collected by searching "spinal gout" on PubMed from 2000 to 2014. The data were analyzed for clinical features, anatomical location of spinal gout, laboratory studies, imaging studies, and treatment choices. Results: Of the 68 patients reviewed, the most common clinical presentation was back or neck pain in 69.1% of patients. The most common lab

oratory study was elevated uric acid levels in 66.2% of patients. The most common diagnostic image finding was hypointense lesion of the gout tophi on the T1-weighted magnetic resonance imaging scan. The most common surgical treatment performed was a laminectomy in 51.5% and non-surgical treatment was performed in 29.4% of patients. Conclusion: Spinal gout most commonly present as back or neck pain with majority of reported patients with elevated uric acid. The diagnosis of spinal gout is confirmed with the presence of negatively birefringent monosodium urate crystals in tissue. Treatment for spinal gout involves medication for the reduction of uric acid level and surgery if patient symptoms failed to respond to medical treatment.

 
 
 

Comments


Hossein Elgafy, MD

Spine Surgeon

Practice Locations

University of Toledo Medical Center

1125 Hospital Drive

Toledo, OH 43614

Tel: 419-383-3761

Clinic

              8.30-3.30 Wednesday 

              

              8.30-12.30 Friday 

Promedica Defiance Hospital

1200 Ralston Avenue
Defiance, OH 43512

Tel: 419-783-6996

Clinic 2nd and 4th Monday 8.00-12.30

Northwest Ohio Orthopedics

3101 W. US Highway 224

Tiffin, OH 44883

Tel: 419-448-0220

Clinic 2nd and 4th Thursday 9-12.30

© 2023 by Robert Griffith. Proudly created with Wix.com

bottom of page